“Un giorno senza sorriso è un giorno perso” (Charlie Chaplin)
Per urgenze chiama il +39 347 6405881
Laboratorio odontotecnico dal 1982 a Novara
Il Laboratorio Odontotecnico Giannini Giorgio è una struttura dinamica e all'avanguardia di Novara che realizza protesi dentali dal 1982. Tra le attività peculiari dell’azienda vi sono la costruzione di protesi mobili, duplicazioni, protesi fisse combinate, scheletriche e su impianti mobili e fissi.
Contattaci
La ricerca continua e l’aggiornamento di tutto lo staff del laboratorio odontotecnico garantiscono prestazioni sempre in linea con le più moderne metodologie per la tutela della salute della bocca. Tutti i prodotti sono realizzati con i migliori materiali presenti sul mercato e con tecniche sempre nuove.
Il laboratorio odontotecnico di Novara assicura, inoltre, reperibilità continua e la massima disponibilità: non esitate a contattare lo staff per urgenze e chiarimenti. La struttura è aperta anche nel mese di agosto e reperibile anche il sabato.
Realizzazione e riparazione di protesi dentarie
Il laboratorio odontotecnico opera a 360° nei settori dell'odontotecnica e e dell’ortodonzia e si occupa della riparazione, della duplicazione e della realizzazione di:
- protesi mobili, scheletriche e fisse;
- protesi su impianti mobili e fissi;
- ortodonzia fissa e mobile per adulti e bambini.
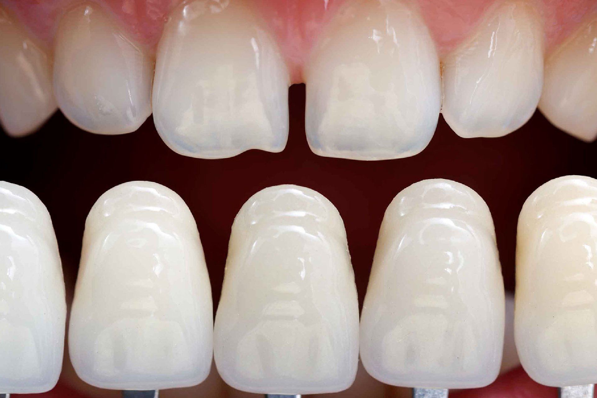
Il Laboratorio Odontotecnico Giannini Giorgio si avvale di materiali di alta qualità e di ultima generazione.
Le protesi dentali sono elementi in resina o in porcellana spesso provvisti di ganci metallici o frenaggi che ne facilitano l’inserimento e la stabilità nella cavità orale.
Ogni protesi del Laboratorio Odontotecnico Giannini Giorgio si pone l'obiettivo di migliorare la qualità della vita del paziente, sia dal punto di vista estetico, restituendo un sorriso completo, sia funzionale, agevolando la facilità di masticazione.
Ricostruire un apparato masticatorio e quindi un sorriso armonico è l’obiettivo dell’azienda, realizzabile solo dopo un attento studio della bocca, operazione da svolgere sia in studio che in laboratorio tramite il supporto di un esperto staff odontoiatrico e odontotecnico. Per questo, la struttura si avvale della collaborazione dello Studio Dentistico Meditec di Galliate, in provincia di Novara.
Rispetto della normativa settore ortodontico
Tutte le operazioni sono svolte con l'ausilio di tecniche e metodiche moderne e di attrezzature e materiali di alto livello, nel rispetto assoluto delle norme comunitarie di riferimento per il settore dell'odontotecnica e dell'ortodonzia.





